BLOG
Artículos de actualidad Dr. Botella-Asunción
Impacto de la Sarcopenia y la Infiltración Grasa Paravertebral en la Degeneración del Segmento Adyacente (DSA) tras Artrodesis Lumbar
AUTOR: Dr. Carlos Botella-Asuncion FECHA: 26 de noviembre, 2025 ÁREA: Cirugía de Columna / Neurocirugía 1. RESUMEN La degeneración del segmento adyacente (DSA) representa una de las complicaciones a largo plazo más prevalentes y costosas tras una artrodesis lumbar....
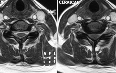
Mielopatía Cervical por Cervicoartrosis (MEC)
La mielopatía cervical por cervicoartrosis (o mielopatía espondilótica cervical) es la causa más común de disfunción de la médula espinal en adultos mayores. Se produce debido a cambios degenerativos relacionados con la edad en la columna cervical, que incluyen...
Tratamiento quirúrgico de la hernia discal lumbar: microdiscectomía vs. discectomía endoscópica
Cuando una hernia discal lumbar provoca dolor en la pierna (ciática), lo primero es intentar un tratamiento conservador: reposo relativo, medicación, fisioterapia o infiltraciones. En la mayoría de casos, estos tratamientos funcionan, pero si el dolor persiste tras...
Escoliosis Lumbar del Adulto y Tratamiento Quirúrgico con Guías 3D
La escoliosis lumbar del adulto es una deformidad de la columna vertebral caracterizada por una desviación lateral en la región lumbar, que suele asociarse con desgaste degenerativo de los discos intervertebrales y las articulaciones facetarias. Este trastorno puede...
El Dr. Carlos Botella-Asunción, destacado Neurocirujano en el libro Forbes Best Doctors Spain 2023
En un reconocimiento notable a los más destacados profesionales de la medicina española, el Dr. Carlos Botella-Asunción ha sido incluido en la selecta lista de los mejores médicos de Forbes Spain 2023 dentro de su especialidad, consolidándose como uno de los...
Jornada Nuevas Tecnologías y Abordajes en Cirugía de Raquis
El Dr. Botella participa y dirige la jornada “Nuevas Tecnologías y Abordajes en la Cirugía de Raquis”, que se celebra el próximo 24 de febrero en la Sede de PRIM en Madrid. DIRECTOR Dr. Carlos Botella. Hospital La Fe PARTICIPANTES Dr. Mostaza. H. San Juan de Dios Dr....
Los pacientes de Top Doctors otorgan la máxima puntuación
El Dr. Botella Asunción recibe el reconocimiento como uno de los doctores mejor valorados por los pacientes de Top Doctors, recibiendo la máxima puntuación (5 estrellas).
Cuatro médicos valencianos, entre los cien mejores de España
Lluch, Botella-Asunción, Miralles y Cavadas figuran en la lista Forbes de los más reconocidos Varios especialistas que ejercen en centros sanitarios de la Comunitat Valenciana han sido incluidos en la lista de «Los mejores médicos» de España que publica por cuarto año...
Cuatro médicos valencianos, entre los 100 mejores de España, según Forbes
El listado incluye este año a los doctores del Hospital Clínico de Valencia Manuel Ortí y Ana Lluch, y al del Hospital Universitari La Fe Carlos Botella-Asunción | También destaca Héctor Boix, coordinador de investigación en Neonatología en el Hospital Vall d'Hebron...
Valencianos en la lista Forbes de mejores médicos
Manuel Ortí, Ana Lluch, Carlos Botella-Asunción y Héctor Boix, en el ranking de los 100 doctores españoles más reconocidos La lista de Forbes de los 100 doctores españoles más reconocidos en el ámbito de la asistencia, la investigación y la docencia que ejercen en...
Entrevista en DIARIO MÉDICO
“Lo que quiere un médico no es dinero, es tener medios” El presidente de la Sociedad Española de Neurocirugía (Senec), Carlos Botella-Asunción, explica a DM que la organización prepara una lista de requisitos mínimos para servicios y unidades docentes MIR. La Sociedad...
Entrevista CONSALUD.ES
“Recomendé al Ministerio reducir las plazas MIR de Neurocirugía a la mitad” Carlos Botella-Asunción, presidente de la Sociedad Española de Neurocirugía (Senec) Neurocirugía fue una de las especialidades que más sorprendió durante la adjudicación de plazas MIR, el...






