Dr. Botella-Asuncion - Neurocirujano Valencia
  • Inicio
  • ¿QUÉ HACEMOS?
  • ¿Dónde Estamos?
  • Noticias
  • Facturación
  • Sobre mi
  • SOLICITAR CITA
Seleccionar página
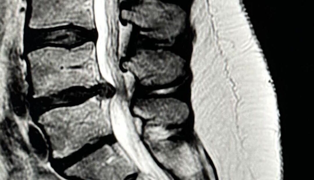
Impacto de la Sarcopenia y la Infiltración Grasa Paravertebral en la Degeneración del Segmento Adyacente (DSA) tras Artrodesis Lumbar

Impacto de la Sarcopenia y la Infiltración Grasa Paravertebral en la Degeneración del Segmento Adyacente (DSA) tras Artrodesis Lumbar

por Dr. Carlos Botella-Asuncion | Feb 27, 2026 | Neurocirujano Valencia, Noticias

AUTOR: Dr. Carlos Botella-Asuncion FECHA: 26 de noviembre, 2025 ÁREA: Cirugía de Columna / Neurocirugía 1. RESUMEN La degeneración del segmento adyacente (DSA) representa una de las complicaciones a largo plazo más prevalentes y costosas tras una artrodesis lumbar....
Tratamiento quirúrgico de la hernia discal lumbar: microdiscectomía vs. discectomía endoscópica

Tratamiento quirúrgico de la hernia discal lumbar: microdiscectomía vs. discectomía endoscópica

por marke153 | Sep 8, 2025 | Hernia Discal, Noticias

Cuando una hernia discal lumbar provoca dolor en la pierna (ciática), lo primero es intentar un tratamiento conservador: reposo relativo, medicación, fisioterapia o infiltraciones. En la mayoría de casos, estos tratamientos funcionan, pero si el dolor persiste tras...
Escoliosis Lumbar del Adulto y Tratamiento Quirúrgico con Guías 3D

Escoliosis Lumbar del Adulto y Tratamiento Quirúrgico con Guías 3D

por marke153 | Dic 5, 2024 | Noticias

La escoliosis lumbar del adulto es una deformidad de la columna vertebral caracterizada por una desviación lateral en la región lumbar, que suele asociarse con desgaste degenerativo de los discos intervertebrales y las articulaciones facetarias. Este trastorno puede...
El Dr. Carlos Botella-Asunción, destacado Neurocirujano en el libro Forbes Best Doctors Spain 2023

El Dr. Carlos Botella-Asunción, destacado Neurocirujano en el libro Forbes Best Doctors Spain 2023

por marke153 | Nov 23, 2023 | Noticias

En un reconocimiento notable a los más destacados profesionales de la medicina española, el Dr. Carlos Botella-Asunción ha sido incluido en la selecta lista de los mejores médicos de Forbes Spain 2023 dentro de su especialidad, consolidándose como uno de los...
Jornada Nuevas Tecnologías y Abordajes en Cirugía de Raquis

Jornada Nuevas Tecnologías y Abordajes en Cirugía de Raquis

por marke153 | Feb 10, 2023 | Noticias

El Dr. Botella participa y dirige la jornada “Nuevas Tecnologías y Abordajes en la Cirugía de Raquis”, que se celebra el próximo 24 de febrero en la Sede de PRIM en Madrid. DIRECTOR Dr. Carlos Botella. Hospital La Fe PARTICIPANTES Dr. Mostaza. H. San Juan de Dios Dr....
Los pacientes de Top Doctors otorgan la máxima puntuación

Los pacientes de Top Doctors otorgan la máxima puntuación

por marke153 | Feb 21, 2022 | Noticias

El Dr. Botella Asunción recibe el reconocimiento como uno de los doctores mejor valorados por los pacientes de Top Doctors, recibiendo la máxima puntuación (5 estrellas).
« Entradas más antiguas

Entradas recientes

  • Impacto de la Sarcopenia y la Infiltración Grasa Paravertebral en la Degeneración del Segmento Adyacente (DSA) tras Artrodesis Lumbar
  • Mielopatía Cervical por Cervicoartrosis (MEC)
  • Tratamiento quirúrgico de la hernia discal lumbar: microdiscectomía vs. discectomía endoscópica
  • Escoliosis Lumbar del Adulto y Tratamiento Quirúrgico con Guías 3D
  • El Dr. Carlos Botella-Asunción, destacado Neurocirujano en el libro Forbes Best Doctors Spain 2023

Comentarios recientes

No hay comentarios que mostrar.


+34 963 949 399
+34 608 728 042



C/ de Muñoz Degrain, 4, 2º piso, puerta 4, Ciutat Vella, 46003 Valencia



ina@ina.es

INNOVACIÓN EN NEUROCIRUGÍA AVANZADA © Copyright INA | Aviso Legal | Política de privacidad | Política de Cookies | Marketing Neurocirujanos