AUTOR: Dr. Carlos Botella-Asuncion
FECHA: 26 de noviembre, 2025
ÁREA: Cirugía de Columna / Neurocirugía
1. RESUMEN
La degeneración del segmento adyacente (DSA) representa una de las complicaciones a largo plazo más prevalentes y costosas tras una artrodesis lumbar. Tradicionalmente atribuida casi exclusivamente a factores biomecánicos óseos y al desequilibrio sagital, la evidencia acumulada hasta 2025 señala a la sarcopenia y la degeneración grasa de la musculatura paravertebral como predictores independientes críticos. Este informe analiza los mecanismos fisiopatológicos mediante los cuales la insuficiencia muscular acelera el desgaste discal adyacente y propone la evaluación de la calidad muscular como estándar de cuidado preoperatorio.
Palabras clave: Sarcopenia, Degeneración del Segmento Adyacente (DSA), Artrodesis Lumbar, Infiltración Grasa, Músculos Multífidos.
2. INTRODUCCIÓN
La artrodesis lumbar es el estándar de oro para el tratamiento de la inestabilidad espinal. Sin embargo, la fusión de segmentos móviles altera inevitablemente la biomecánica de la columna, transfiriendo el estrés de carga y movimiento a los niveles adyacentes (superior e inferior).
Si bien la alineación espinopélvica ha sido el foco principal de prevención en la última década, estudios recientes han cambiado el paradigma hacia el «soporte dinámico» de la columna: la musculatura. La sarcopenia (pérdida de masa y función muscular) y específicamente la mioesteatosis (infiltración grasa) de los músculos extensores de la columna, han emergido como factores de riesgo modificables frecuentemente ignorados en la planificación quirúrgica.
3. FISIOPATOLOGÍA BIOMECÁNICA
La columna lumbar depende de un sistema de estabilidad dual: el pasivo (huesos, discos, ligamentos) y el activo (músculos). La sarcopenia rompe este equilibrio a través de tres mecanismos:
1. Pérdida del «Tirante» Dinámico: Los músculos multífidos actúan como estabilizadores segmentarios finos. En pacientes sarcopénicos, estos músculos son reemplazados por tejido adiposo no contráctil, perdiendo su capacidad de tensión.
2. Fallo en la Absorción de Carga: Tras una fusión, el brazo de palanca rígido aumenta las fuerzas de cizallamiento (shear forces) sobre el disco adyacente. Un músculo paravertebral sano absorbe parte de esta energía cinética. Un músculo sarcopénico falla en esta función de amortiguación.
3. Inestabilidad Micro-segmentaria: La falta de tono muscular permite micro-movimientos excesivos en el nivel adyacente durante la flexo-extensión, acelerando la cascada degenerativa: deshidratación discal, hipertrofia facetaria y estenosis.
4. EVIDENCIA CLÍNICA (REVISIÓN 2020-2025)
El análisis de la literatura actual arroja datos contundentes sobre la correlación entre calidad muscular y fallo del nivel adyacente:
• Valor Predictivo Superior: Estudios recientes indican que la sarcopenia preoperatoria (medida mediante el Psoas Muscle Index – PMI o área de sección transversal) es un predictor más fuerte de DSA temprana (<3 años) que algunos parámetros pélvicos tradicionales.
• Datos Cuantitativos: Pacientes clasificados como sarcopénicos muestran tasas de desarrollo de DSA significativamente mayores (Incidencia: ~84% en sarcopénicos vs. ~10.6% en no sarcopénicos en seguimientos a 3 años; p < 0.001).
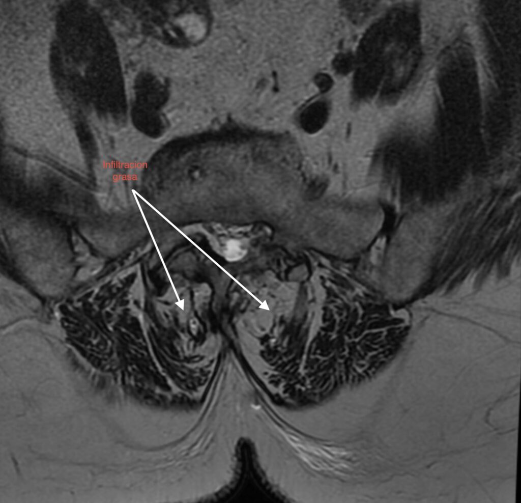
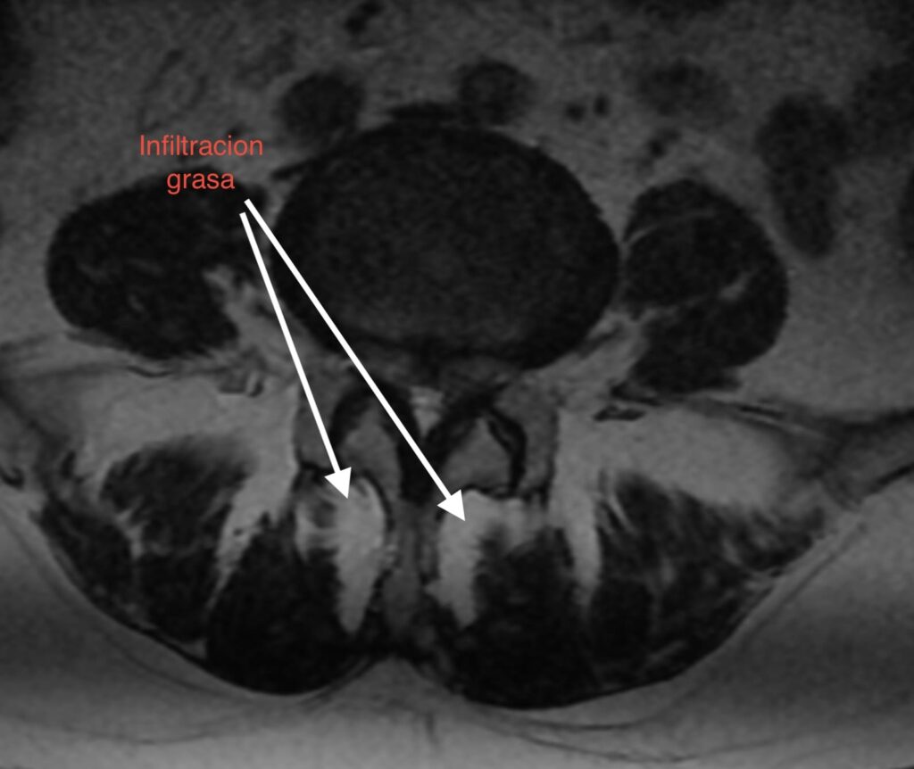
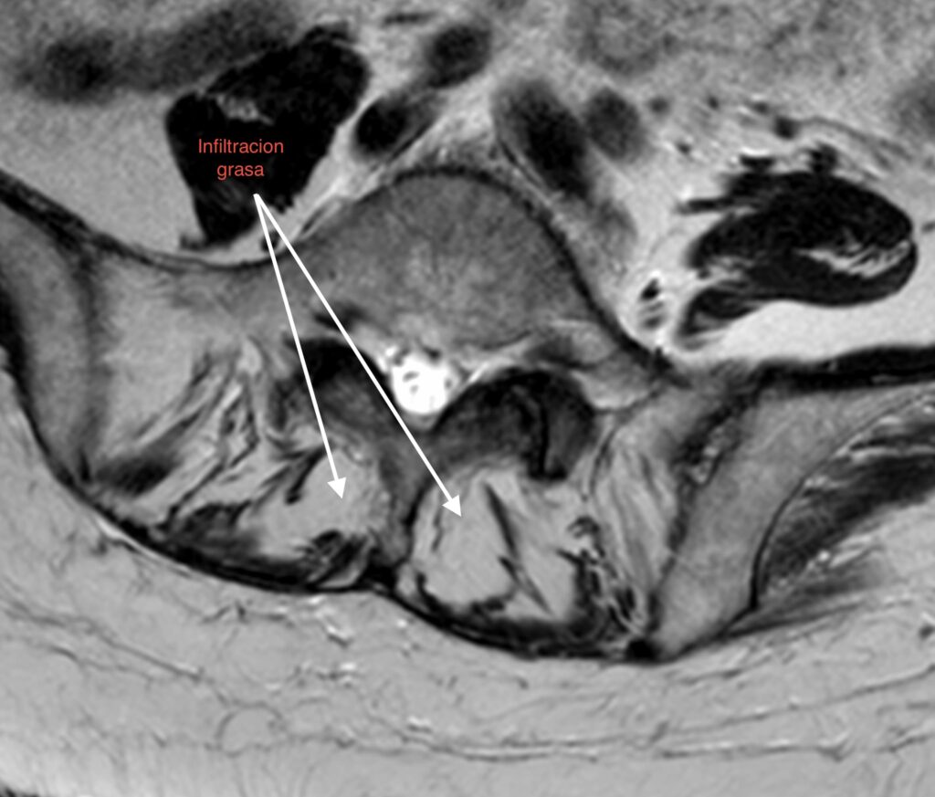
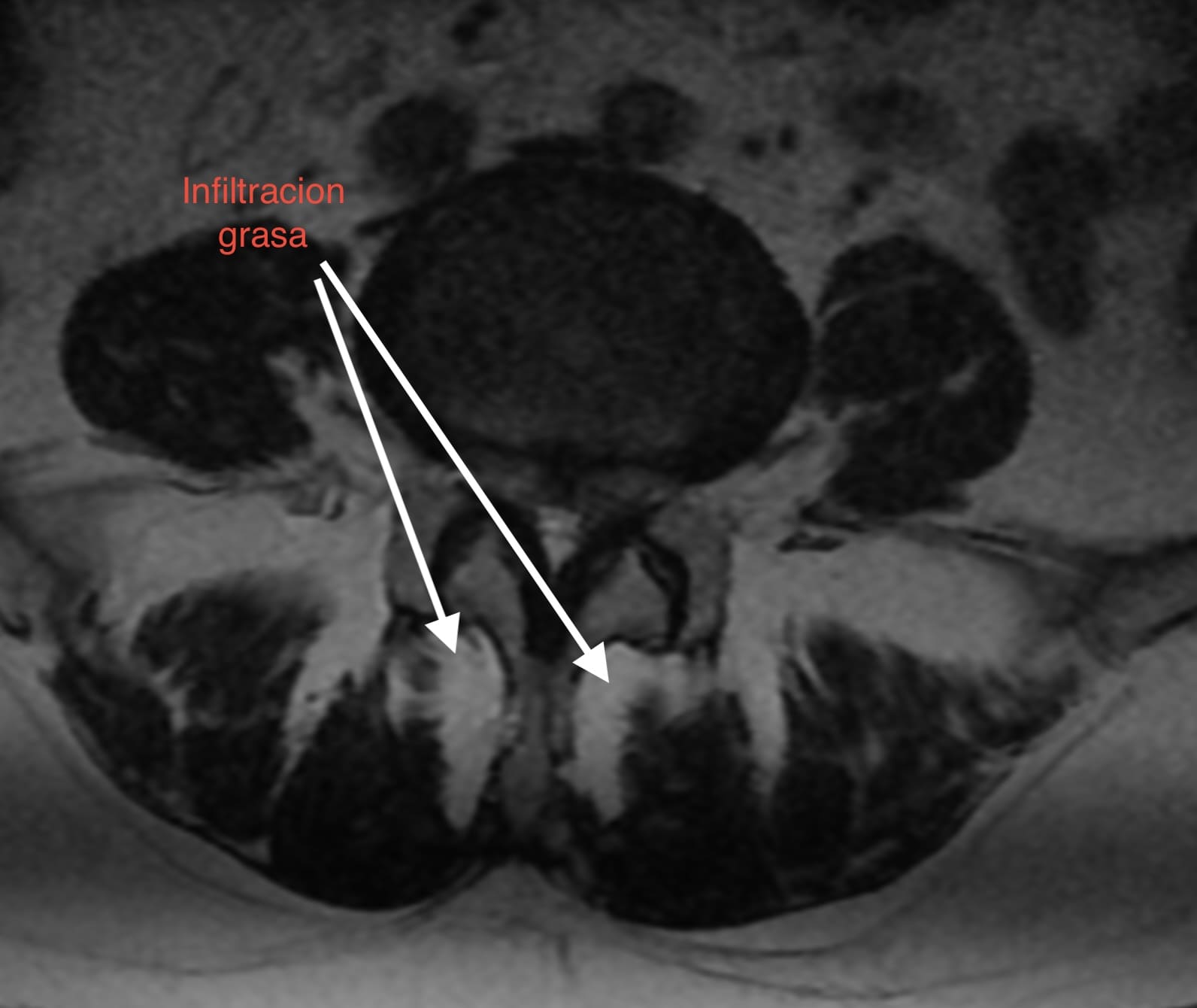
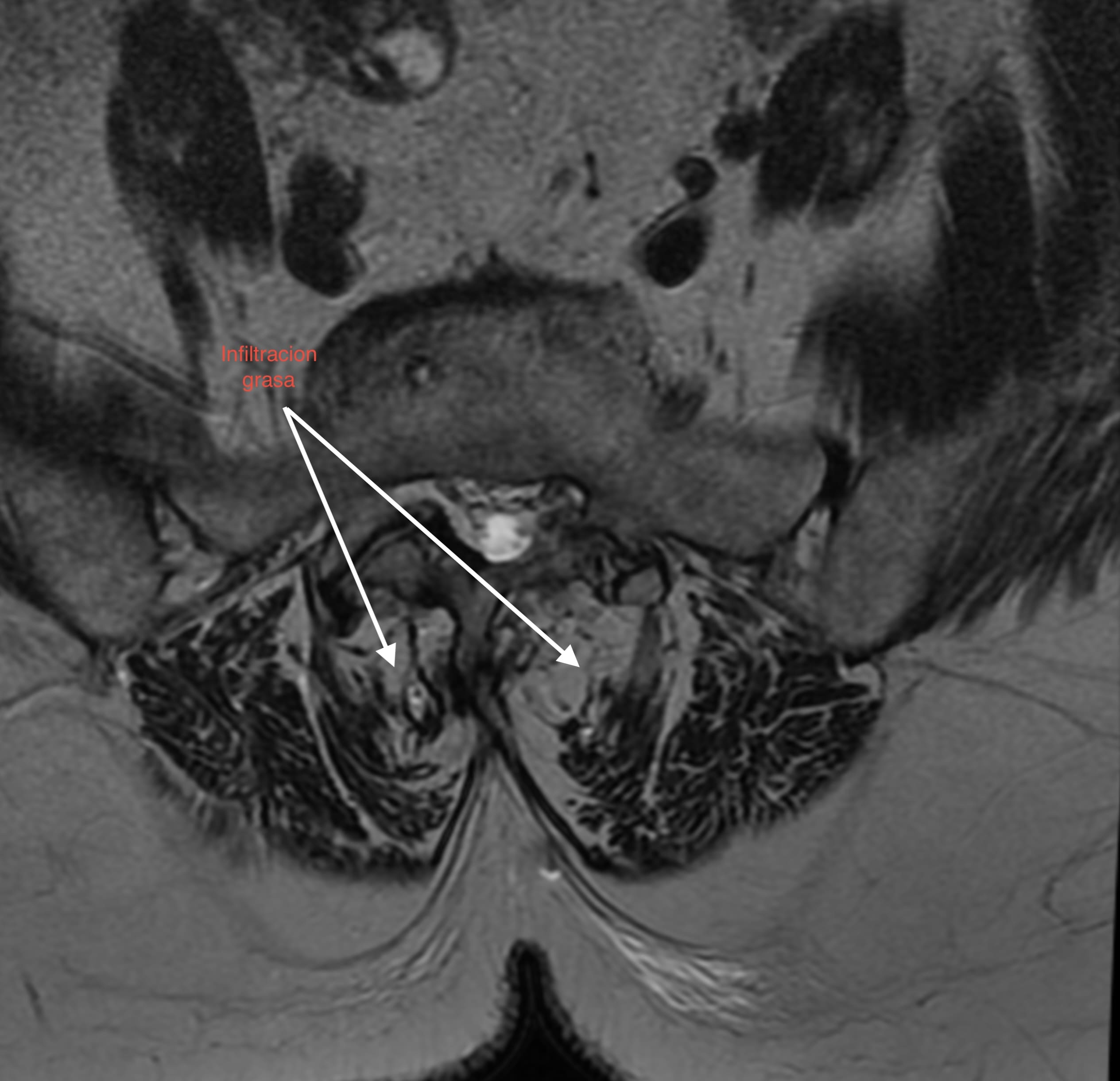
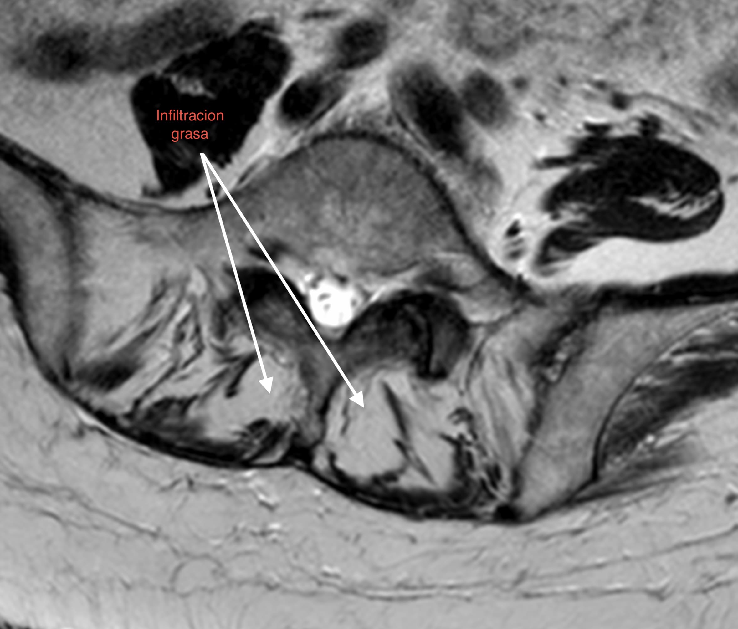
• Calidad vs. Cantidad: La infiltración grasa (clasificación de Goutallier o medición de unidades Hounsfield en TAC) en el multífido es un factor de riesgo independiente para la reintervención. Músculos con alta infiltración grasa se correlacionan con peores resultados funcionales (ODI) y mayor tasa de complicaciones mecánicas como la cifosis de la unión proximal (PJK).
5. DISCUSIÓN E IMPLICACIONES TERAPÉUTICAS
La confirmación del rol de la sarcopenia obliga a replantear el manejo perioperatorio en la cirugía de columna:
1. Screening Preoperatorio Rutinario: La RM lumbar debe utilizarse para evaluar la calidad muscular (corte axial en L3/L4), no solo la patología neural.
2. Prehabilitación («Prehab»): Pacientes con sarcopenia detectada deben ser candidatos a programas de fortalecimiento de core y optimización de ingesta proteica antes de la cirugía electiva para mitigar el riesgo de DSA.
3. Elección de Técnica Quirúrgica: En pacientes con musculatura comprometida, las técnicas mínimamente invasivas (MIS) que preservan la banda de tensión posterior y evitan la desinserción muscular son críticas para no agravar la debilidad existente.
6. CONCLUSIÓN
La sarcopenia y la infiltración grasa paravertebral no son hallazgos incidentales del envejecimiento, sino determinantes activos en la vida útil de una artrodesis lumbar. La atrofia muscular deja al disco adyacente desprotegido frente al estrés mecánico incrementado post-fusión. Identificar y tratar la sarcopenia es imperativo para reducir la incidencia de reintervenciones y mejorar la calidad de vida a largo plazo del paciente.



BIBLIOGRAFÍA SELECCIONADA
1. Wilkinson, B., et al. (2025). Sarcopenia Predicts Early Adjacent Segment Disease Development After Anterior and Oblique Lumbar Interbody Fusion. Operative Neurosurgery.
2. Ikeda, N., et al. (2025). Paraspinal muscular fat infiltration was associated with the development of adjacent segmental disease after microsurgical decompression. European Spine Journal.
3. Yagi, M., et al. (2023). Impact of Sarcopenia on Outcomes Following Lumbar Spine Surgery for Degenerative Disease: A Systematic Review. Journal of Neurosurgical Sciences.
4. Kim, J.W., et al. (2020). The impact of paraspinal muscle fatty degeneration on the development of adjacent segment disease after lumbar fusion. The Spine Journal. Vol 20(4), pp. 589-598.
5. Bokshan, S.L., et al. (2016). Sarcopenia as a predictor of complications and survival following lumbar spine surgery. Spine. Vol 41(22), pp. 1745-1752.