Tumor Cerebral

Neurocirugía privada e internacional en Valencia

Definición:

Un tumor cerebral es una masa formada por el crecimiento de células anormales o proliferación incontrolada de células en el cerebro. Los tumores cerebrales primarios involucran a cualquier masa que se origina en el cerebro y no que se disemine hasta el cerebro desde otra parte del cuerpo.

Causas, incidencia y factores de riesgo:

El tumor cerebral primario es cualquier tumor que se origine en el cerebro. Los tumores se pueden localizar en un área pequeña, y se clasifican en invasivos (se propagan a áreas cercanas), benignos (no cancerosos) o malignos (cancerosos).

Los tumores pueden destruir directamente células cerebrales y también pueden causar daño indirecto a las células debido a la inflamación, compresión por el crecimiento del tumor, edema cerebral (hinchazón del cerebro) y aumento de la presión intracraneal (la presión dentro del cráneo).

La clasificación de los tumores cerebrales depende del sitio exacto del tumor, del tipo de tejido involucrado, del comportamiento benigno o maligno del tumor y de otros factores. La causa de los tumores cerebrales primarios se desconoce, pero algunos tumores, como el retinoblastoma, tienden a ser hereditarios y otros, como el craneofaringioma, son congénitos.

Los tumores pueden aparecer a cualquier edad, pero muchos de ellos tienen una edad particular en la cual son más comunes. Los tumores cerebrales más comunes en la niñez son astrocitoma, meduloblastoma, ependimoma y glioma del tronco del encéfalo. Los gliomas representan el 75% de los tumores en pediatría, pero sólo el 45% en adultos. Fuera de los retinoblastomas, la mayoría de los tumores cerebrales son raros en el primer año de vida.

Los tumores del sistema nervioso en la niñez se clasifican como: infratentorial (localizado debajo de la tienda del cerebelo), o sea que está en el tercio posterior del cerebro; y supratentorial, que está en los dos tercios anteriores del cerebro.

Los tumores del sistema nervioso central representan cerca del 20% de todos los cánceres de la niñez y, en cuanto a su incidencia, solamente son superados por las leucemias. La mitad de los tumores cerebrales en niños son infratentoriales. La incidencia anual en niños menores de quince años es de 3 por cada 100.000 y cada año se presentan más de 1.200 casos nuevos.

Los síntomas específicos, tratamiento y pronóstico varían de acuerdo con el sitio y tipo de tumor, y con la edad y el estado general de salud de la persona.

 

INFORMACIÓN ESPECÍFICA DEL TIPO DE TUMOR

Astrocitoma cerebeloso:

Representa del 10 al 30% de los tumores cerebrales pediátricos (edad pico de 5 a 8 años)

Usualmente benigno, quístico y de crecimiento lento

Generalmente los signos son torpeza en una mano, marcha espástica (tropezando hacia un lado), dolor de cabeza y vómito

El fundamento del tratamiento es la extirpación quirúrgica del tumor, pero si no es posible realizar una extirpación total, la radioterapia puede ser de gran ayuda.

La quimioterapia generalmente se realiza en casos de tumores progresivos que no se pueden extirpar.

La tasa de curación basada en el tipo de tumor se da entre un 38 a 94%.

Meduloblastoma:

Es el tumor cerebral pediátrico más común (del 20 al 25% de los tumores de la fosa posterior).

Es más frecuente en niños que en niñas y más en bebés que en niños mayores y adultos, con edad pico de 3 a 5 años.

Los signos que se presentan son dolor de cabeza, vómito, ataxia y letargo. Puede propagarse (metástasis) por la espina dorsal.

La extirpación quirúrgica por sí sola no es curativa y, a menudo, se usa junto con radioterapia o quimioterapia.

Los niños menores de tres años a menudo obtienen resultados desalentadores. Existe una alta incidencia de la enfermedad metastásica en el momento del diagnóstico en este grupo de edad y se utilizan dosis bajas de radiación con estos pacientes.

Cerca del 30 al 50% de los niños están libres de la enfermedad en diez años.

Si hay una recaída, ésta ocurre dentro de los primeros cinco años de terapia.

Ependimoma:

Representa del 8 al 10% de los tumores pediátricos (el tercero más común).

Los índices de crecimiento del tumor varían.

Los tumores se localizan en los ventrículos del cerebro y obstruyen el flujo del LCR.

Los signos que se presentan son dolor de cabeza, vómito y ataxia.

La terapia sola o combinada abarca cirugía, radioterapia y quimioterapia.

La supervivencia, en general, es de menos del 30%. Los tumores de bajo grado tienen una tasa de supervivencia del 80% a 5 años y los tumores de alto grado pueden ser mortales.

Glioma del tronco del encéfalo:

Tumores de la protuberancia y el bulbo encefálico.

Casi exclusivo de los niños.

Representa del 10 al 15% de los tumores cerebrales primarios en los niños. El promedio de edad es de 6 años.

Puede crecer hasta alcanzar gran tamaño, antes de presentarse los síntomas.

Los signos que se presentan son: visión doble, debilidad facial, dificultad para caminar y vómito.

La extirpación quirúrgica es, a menudo, difícil debido a la localización del tumor.

La radioterapia y la quimioterapia se usan para disminuir el tamaño del tumor y así prolongar la vida.

La tasa de supervivencia a los cinco años es del 20 al 30% generalmente.

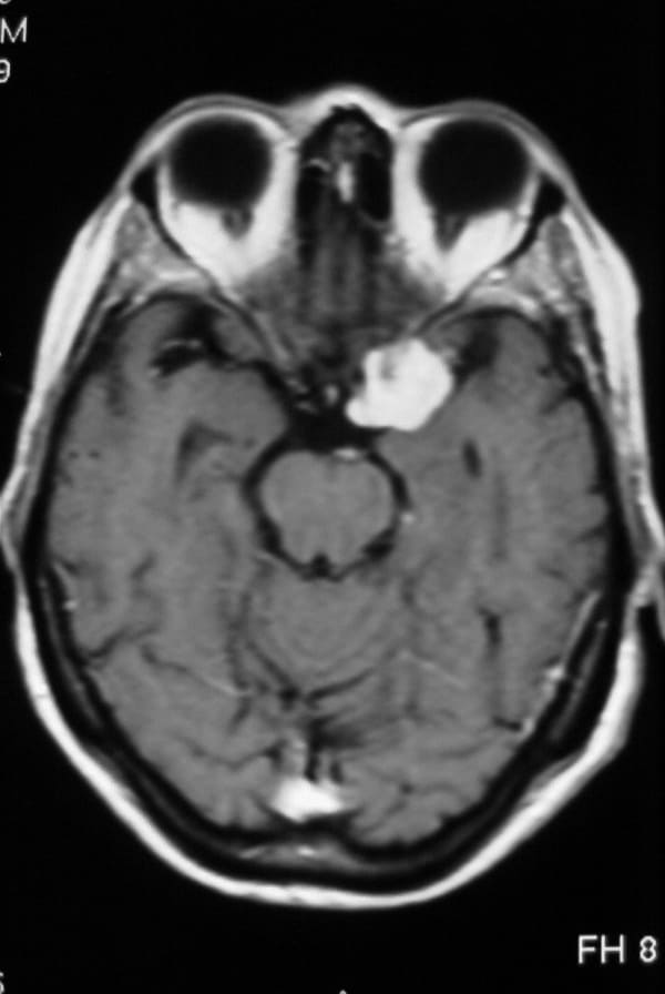
Craneofaringioma:

El tumor está localizado cerca de la hipófisis y el hipotálamo.

Es a menudo benigno.

Debido a su cercanía a estructuras vitales hace difícil su extirpación.

Es poco común y representa menos del 5% de los tumores cerebrales de la niñez. La edad promedio es de los 7 a los 12 años.

Los signos que se presentan son: cambios en la visión, dolor de cabeza, aumento de peso, cambios endocrinos.

Se trata con terapia combinada, usualmente cirugía y radioterapia.

Las tasas de supervivencia y curación son favorables, aunque pueden persistir la disfunción endocrina y los efectos de la radiación en los procesos cognitivos (capacidad para pensar).

Existe controversia acerca del método óptimo de terapia para el craneofaringioma.

Síntomas

– Dolor de cabeza

  • comienzo reciente de un nuevo tipo
  • persistente
  • empeora al despertar

– Vómito

  • posiblemente acompañado de náuseas
  • más frecuente e intenso por la mañana
  • Cambios en la personalidad y cambios en el comportamiento

– Inestabilidad emocional, cambios emocionales rápidos

– Deterioro intelectual

– pérdida de la memoria

– dificultad para calcular

– deterioro del juicio

– Crisis convulsivas nuevas

– Disminución del nivel de conciencia (disminución del estado de alerta)

Signos clínicos

  • cambios en la visión (doble, disminuida)
  • pérdida de la audición
  • disminución de sensibilidad de una parte del cuerpo
  • debilidad de una parte del cuerpo
  • problemas del lenguaje
  • disminución en la coordinación, torpeza, caídas
  • Fiebre (algunas veces)
  • Debilidad, letargo
  • Sensación de malestar general (malestar general)
  • Reflejo de Babinski positivo
  • Posición de descerebración
  • Posición de decorticación

EN NIÑOS MENORES DE UN AÑO

  • Fontanelas abultadas
  • Suturas separadas
  • Opistótonos
  • Aumento en la circunferencia de la cabeza
  • Ausencia de reflejo rojo en los ojos (palidez retiniana)

Nota: los síntomas específicos pueden variar.

Síntomas adicionales que pueden estar relacionados con esta enfermedad:

  • Problemas de la lengua
  • Dificultad para tragar
  • Disminución del olfato
  • Obesidad
  • Movimiento incontrolable
  • Movimiento disfuncional
  • Ausencia de menstruación
  • Hipo persistente
  • Temblor de mano
  • Parálisis facial
  • Anomalías en el movimiento de los ojos
  • Pupilas de diferente tamaño
  • Movimientos incontrolables del ojo
  • Párpado caído
  • Confusión
  • Ausencia temporal de la respiración (pausas de apnea)
  • Comportamiento inusual o extraño

 

Signos y exámenes

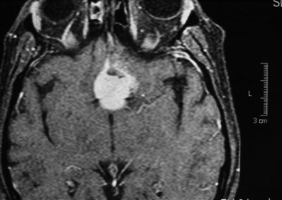
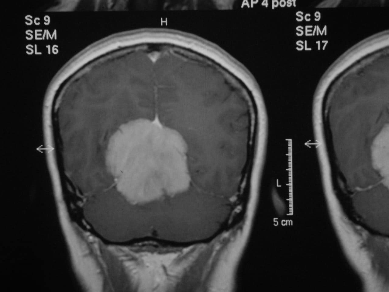
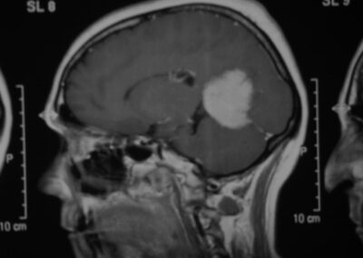
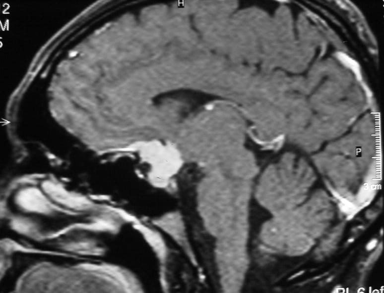
El examen muestra, a menudo, signos neurológicos generales o focales que son específicos del sitio del tumor. Algunos tumores no muestran síntomas hasta que ya son bastante grandes y causan rápido deterioro neurológico, mientras que otros se caracterizan por los síntomas progresivos lentos. La mayoría de los tumores muestra signos típicos de masas que ocupan espacio (lesión ocupante de espacio: LOE), los cuales causan aumento de la presión intracraneal y compresión del tejido cerebral.

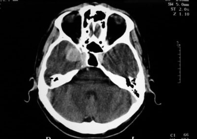
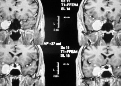
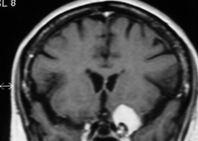
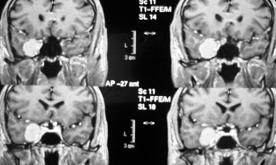
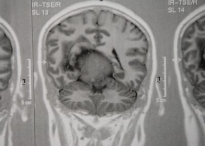
El diagnóstico se puede confirmar y el tumor localizar mediante:

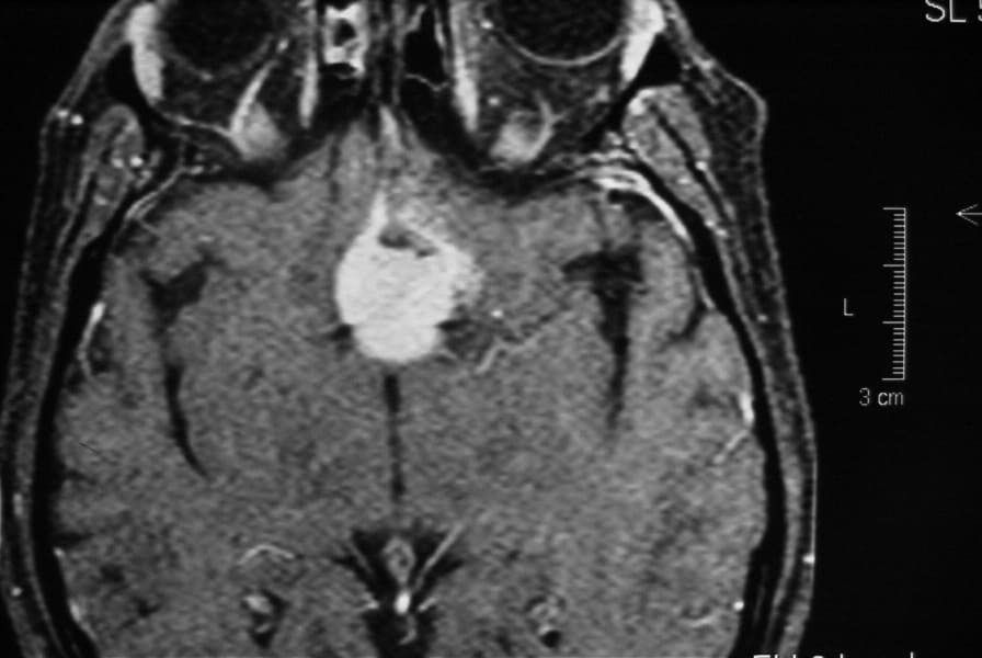
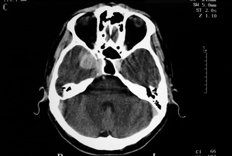
  • TAC cerebral
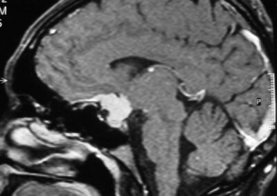
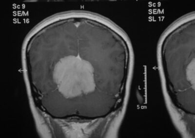
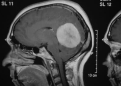
  • RM cerebral
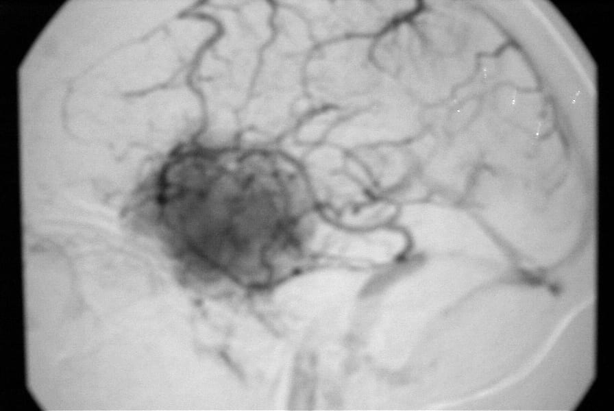
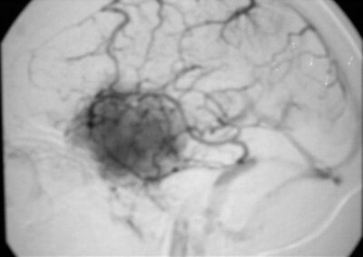
  • Angiografía cerebral
  • EEG: revela anomalías focales (localizadas)
  • Examen del tejido extirpado del tumor durante cirugía o mediante biopsia estereotáctica, guiada por TAC/RM: se usa para confirmar el tipo exacto de tumor
  • Examen del líquido cefalorraquídeo (LCR) que puede revelar células cancerígenas

 

Tratamiento

Un tumor cerebral primario se debe tratar rápidamente, ya que, en muchos casos, el tratamiento temprano aumenta las posibilidades de un buen resultado.

El tratamiento varía de acuerdo con el tamaño, tipo de tumor y la salud general de la persona. Los objetivos son: curar la enfermedad, aliviar los síntomas, mejorar la función y el bienestar de la persona.

Se aconseja la cirugía para la mayoría de los tumores cerebrales primarios. Algunos se pueden extirpar totalmente. En otros casos, cuando los tumores son profundos o se han infiltrado en el tejido cerebral, se puede reducir su tamaño por medio de la extirpación de gran parte de la masa que compone el tumor. La cirugía puede reducir la presión intracraneal y aliviar los síntomas en los casos en los que no se puede extirpar el tumor. La cirugía estereotáxica (guiada por TC) puede ayudar a extirpar tumores profundos.

La radioterapia y algunos medicamentos contra el cáncer (quimioterapia) pueden ser aconsejables para los tumores que son sensibles a este tratamiento.

Otros medicamentos pueden ser:

  • Corticosteroides, como dexametasona, para reducir la hinchazón cerebral
  • Diuréticos osmóticos, como urea o manitol, para reducir la hinchazón cerebral y el aumento de la presión intracraneal asociada
  • Anticonvulsivantes, como fenitoína, para disminuir las crisis convulsivas
  • Analgésicos para controlar el dolor
  • Antiácidos o bloqueadores histamínicos para controlar las úlceras por estrés

Las medidas de bienestar y de seguridad, la fisioterapia, la terapia ocupacional y otras similares pueden mejorar la calidad de vida de la persona.

Los grupos de apoyo, asesorías y medidas similares pueden ayudar a sobrellevar la enfermedad.

La asesoría legal ayuda en la formulación de las directrices por seguir, como, por ejemplo, la elaboración de un poder legal por anticipado para enfrentar los casos en los cuales se puede presentar la disminución de las facultades físicas e intelectuales del paciente.

Grupos de apoyo: El estrés causado por la enfermedad se puede aliviar al participar en un grupo de apoyo, donde los integrantes comparten experiencias y problemas en común. Ver grupo de apoyo para el cáncer.

 

Complicaciones de la cirugía:

  • Herniación del cerebro (a menudo mortal)
  • Lesiones neurológicas profundas, permanentes o progresivas
  • Pérdida de la capacidad para interactuar
  • Pérdida de la capacidad para el normal desempeño y el autocuidado
  • Efectos secundarios de los medicamentos, incluyendo la quimioterapia
  • Efectos secundarios de los tratamientos con radiación
  • Recurrencia del crecimiento del tumor

 

Situaciones que requieren asistencia médica:

Se debe buscar asistencia médica si se presentan dolores de cabeza nuevos y persistentes u otros síntomas que sugieran la presencia de un tumor primario.

Asimismo, la persona debe acudir al médico o ir a urgencias en caso de presentar convulsiones o un desarrollo repentino de somnolencia, letargo o trastornos en la visión.